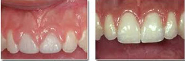
Gingivoplasty often is done simply to make gums look better. They may have an unusual shape or may not be formed normally. The causes can include a person’s genes, disease or trauma. Gingivoplasty reshapes the gums to make them look more natural. It often is done alone, but can be done during or after a gingivectomy. Gingivoplasty also can be done along with a gum graft. This type of surgery adds tissue to the gum line.
Benefits :
What happens before the procedure :
As gingivoplasty is mainly a cosmetic procedure, quite easy and quickly done, one shouldn’t ignore the implications it might have upon his/her body. Thus, in a pre-procedure appointment, you will be informed about every step of the procedure, your gums will be inspected in order to establish the “trimming” line, to assure an aesthetic contour of teeth. Procedures of doing gingivoplasty will be presented to you and then the best procedure will be chosen: periodontal knife, scalpel or electrosurgery / laser.
What happens during the procedure :
Gingivoplasty procedures are usually done with local anesthetics. There are usually three steps to follow: first, a periodontal probe is used to measure and mark pocket depth, followed by marking of the beveled incision with a scalpel blade or laser. By Laser the gum tissues in excess are cut, the irregularities reshaped and the unattractive gums contoured. In the same time, Laser equipment minimizes bleeding and finally the end result of the procedure finishes in the scalloped border of the normal gingival that has been recreated.
What happens after the procedure :
Healing after gingivoplasty is very quick. Optimal plaque control is required for healing so brush daily as recommended by our dentist to avoid any stray debris and bacteria that could cause irritation or infection. As gums heal, less sensitivity to hot or cold drinks and food items is noticed. Moreover, the roots of your teeth will be further protected against tooth decay. To heal completely, a couple of weeks must pass but once your gum removal surgery has healed, you should notice how much more natural this area looks.

Before
After
