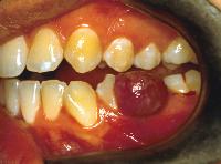
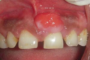
The pyogenic granuloma is a relatively common, tumorlike, exuberant tissue response to localized irritation or trauma. The name pyogenic granuloma is a misnomer since the condition is not associated with pus and does not represent a granuloma histologically. It is a reactive inflammatory process filled with proliferating vascular channels, immature fibroblastic connective tissue, and scattered inflammatory cells. The surface usually is ulcerated, and the lesion exhibits a lobular architecture.

Before
After
Before
After
