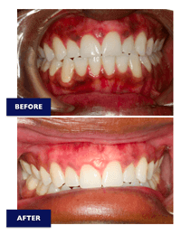
Gum depigmentation (aka gum bleaching) is a procedure used in cosmetic dentistry to remove black spots or patches on the gums caused by excessive melanin. The normal color of the gum tissue (gingiva) is pink, but excess deposits of melanin (melanin gingival hyperpigmentation) can create what seem to be black spots or patches on the gums, creating an aesthetic or cosmetic problem. Discolouration may also be caused by long term use of certain medications. A clinical assessment is carried out to customize the treatment to the patients needs, and the procedure itself can involve surgical, chemical, or laser ablation techniques.
Techniques :
Melanocytes are cells which reside in the basal layer of the gingival epithelium. These cells produce melanin, which are pigments that cause discoloration or dark spots in gums. A dental laser can target and ablate the melanocytes, thus reducing the production of melanin in the gingival tissue. Following laser depigmentation, the gingiva heals by secondary intention. This results in a lighter and more uniform color of the gums.
Laser Gum Depigmentation
Case 1:

