Implants
Single Tooth Implant - Pre and Post
Implants
Implant Supported Retrivable Dentures - Pre and Post
Prosthodontics
Complete and Partial Dentures
Prosthodontics
Crowns and Bridges
Cosmetic Procedure
Veneers - Pre and Post
Cosmetic Procedure
Diastema Closure - Pre and Post
Cosmetic Procedure
Full Mouth Rehabilitaion - Pre and Post
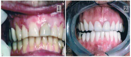
Cosmetic Procedure
Smile Design - Pre and Post
Periodontics
Scaling - Pre and Post
Laser Treatment
Laser Depigmentation of Gums - Pre and Post
Laser Treatment
Gingivectomy - Pre and Post
Laser Treatment
Frenectomy - Pre and Post
Periodontics
Gum Grafting - Pre and Post
Periodontics
Root Coverage - Pre and Post
Restorations
Restorations - Pre and Post
Restorations
Inlay Restorations - Pre and Post